Boli și Remedii
Remedii naturiste, tratamente inovatoare și medicamente de ultimă generație pentru cele mai frecvente afecțiuni.
Boli și Remedii
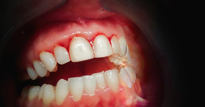
De ce nu ar trebui să ignori niciodată sângerarea gingiilor?
Boli și Remedii
Cum îți poți salva viața în doar trei minute pe lună?
Boli și Remedii









